Our Blog

News and updates from York Place Dental, Carlisle

York Place Dental Blog

News and information from the field of dentistry
Font size: +

What Is Your BPE (Basic Periodontal Examination)?

Scoring BPE in Carlisle Each of the six sections is scored from 0-4 during your BPE in Carlisle


When you visit York Place Dental in Carlisle for a Dental Examination or Hygiene Therapy appointment, you might hear your clinician calling out numbers like "two, one, three" as they check around your mouth.

These numbers are not random. They are part of your Basic Periodontal Examination (BPE), a quick and simple way for us to check the health of your gums.

In short, a BPE helps us spot early signs of gum disease and decide how best to keep your mouth healthy.


What is a BPE?

A Basic Periodontal Examination looks at the health of your gums and the bone that supports your teeth.

Your mouth is divided into six sections, three at the top and three at the bottom. Each section is given a score between 0 and 4. This score tells us how healthy your gums are in that area.

At York Place Dental Carlisle, we carry out BPE checks as part of your dental and hygiene visits to monitor your gum health over time. 


What do the BPE numbers mean?

Here is a simple guide to what your score means:

0 – Healthy gums
No bleeding, no plaque, no problems. Keep up your great home care.

1 – Mild inflammation
Your gums may bleed slightly when checked. This is an early sign of irritation and can usually be improved with better brushing and cleaning between your teeth.

2 – Plaque or tartar present
There is a build-up of plaque or tartar that may start to irritate your gums. A professional clean with our hygienist in Carlisle will help remove this and prevent further problems.

3 – Early gum pockets (3.5–5.5mm)
Your gums are starting to pull away from your teeth, creating small spaces called pockets. This is an early stage of gum disease, but with the right care it can often be stabilised.

4 – Deeper pockets (over 5.5mm)
This suggests more advanced gum disease. Treatment and regular monitoring are important to protect your teeth and gums.

The important thing to remember is that gum disease can often be improved or managed with the right support and a good home care routine. 

How we record your BPE score - the numbers apply to each section of the mouth and red lines indicate bleeding.


What else do we look at?

Your BPE score is just one part of the picture. When assessing your gum health, we also consider:

  • Gum appearance – healthy gums are pink and firm, while inflamed gums may look red or swollen
  • Tooth movement – loose teeth can indicate changes in bone support
  • Dental X-rays – used to check bone levels around your teeth
  • Your overall health and habits – including smoking, diabetes, medications, and oral hygiene

This allows our Carlisle dental team to create a personalised plan for you. 


How this affects your hygiene visits

Your gum health plays an important role in how often you should see a hygienist.

As a general guide:

  • Scores 0–1 usually mean less frequent hygiene visits
  • Score 2 may require more regular professional cleaning
  • Scores 3–4 often need closer support and more frequent hygiene appointments

At York Place Dental in Carlisle, we tailor your hygiene schedule to your individual needs, helping you maintain healthy gums long term.


Can your gum health improve?

Yes, absolutely.

While tartar needs to be removed by a dental professional, there is a lot you can do at home to improve your gum health.

Brushing effectively, cleaning between your teeth, and maintaining healthy habits can reduce bleeding, inflammation, and plaque build-up. Many patients notice improvements within just a few weeks.

Our team in Carlisle will always guide you on the best home care routine for your smile. 

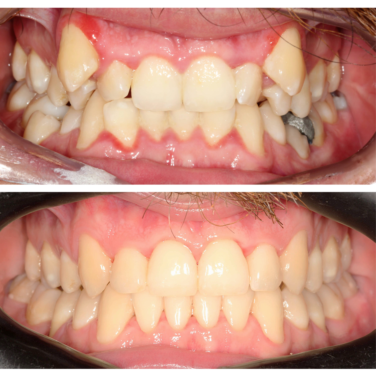
Red, inflamed gums around the edges of teeth can be helped with regular hygiene visits and interdental cleaning.

How often is a BPE done?

A BPE is usually carried out at least once a year during your dental examination or hygiene appointment in Carlisle. If you are more prone to gum problems, we may check it more often. 

Does a BPE hurt?

No. You may feel slight pressure, and if your gums are inflamed they may feel a little sensitive, but it should not be painful. 

What is a pocket?

A pocket is a small gap between your tooth and gum. These spaces can collect bacteria, which is why we monitor them closely. 

Can different areas of the mouth have different scores?

Yes, this is very common. Some areas are harder to clean than others, so they may need extra attention. 

Do higher BPE scores always mean gum disease?

Not always. They highlight areas that need attention, but your dentist or hygienist will assess everything before making a diagnosis. 

Looking after your gum health in Carlisle

Your BPE is a simple but powerful way for us to monitor your gum health and catch problems early.

At York Place Dental Carlisle, we are here to support you at every stage, from prevention to treatment, helping you maintain a healthy, confident smile.

If you have any questions about your gum health or BPE score, our friendly team is always happy to help. 

Turkey Teeth: A Quick Fix or a Lifetime Investment...
A Truly Team-Based Approach to Exceptional Dentist...
Website © Copyright 2017 York Place Dental. All Rights Reserved.